
「白い歯」これは誰もが憧れるものです。
コーヒーやお茶、喫煙などで黄ばんだ歯。歯の神経を取ったもの。
生まれつき色が付いている歯について歯を白くする方法があります。
それが「ホワイトニング」です。
当院のホワイトニングには三つの方法があります。
【1.オフィスホワイトニング】歯科医院で行うもの
【2.ホームホワイトニング】 自宅で行うもの
【3.両方を合わせたホワイトニング】症例等により通院回数が
異なります。
| 1顎 | 上下顎 | 1歯 |
| ¥27,500(税込) | ¥55,000(税込) | ¥6,600(税込) |

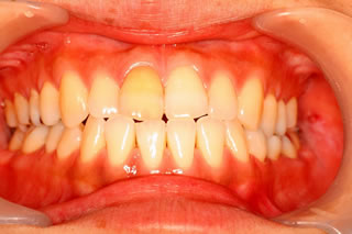
向かって左上の前歯が他の歯と比べて黄ばんでいるのが分かります。

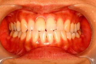
他の歯と同じくらい白くきれいになりました。